General description
Calbindin-D-28K is a highly conserved 28 kDa calcium binding
protein with broad tissue distribution.
Monoclonal Anti-Calbindin-D-28K (mouse IgG1 isotype) is derived from the CB-955
hybridoma produced by the fusion of mouse myeloma cells and splenocytes from
BALB/c mice immunized with a purified bovine kidney calbindin-D-28K. The
isotype is determined by a double diffusion immunoassay using Mouse Monoclonal
Antibody Isotyping Reagents, Catalog Number ISO2.
Calbindin-D-28K belongs, together with calmodulin, S-100, parvalbumin, troponin
C and other proteins, to a family of low molecular weight calcium-binding
proteins (CaBPs). These CaBPs have homologous primary structures, which contain
polypeptide folds of the EF-hand type for the acceptance of Ca2+.
Calbindin is an attractive neuroanatomical marker. Despite its broad tissue
distribution, calbindin-D-28K exhibits a cell-type specific expression pattern.
Thus, it has been immunocytochemically localized in selected cells in many CNS
structures, where it is thought to act either as an intracellular calcium
buffer, or in the intramembranous transport of calcium. It is found
predominantly in subpopulations of central and peripheral nervous system
neurons, and in certain epithelial cells involved in Ca2+ transport
such as distal tubular cells and cortical collecting tubules of the kidney, and
in enteric neuroendocrine cells. Monoclonal antibody reacting specifically with
calbindin-D-28K is instrumental in the localization of calbindin in different tissues
and cell populations.
Immunogen
Bovine kidney calbindin-D
Application
Monoclonal Anti-Calbindin-D-28K antibody produced in mouse
may be used in immunohistochemistry (alcohol-, formalin-, and methacarn-fixed,
paraffin-embedded, and frozen tissue sections). Enzymatic predigestion of
formalin-fixed, paraffin-embedded sections improves immunohistochemical
staining. The antibody produced in mouse is suitable for indirect ELISA,
western blotting at a working dilution of 1:3000 using MDBK cell extract and
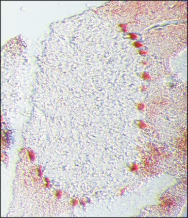
indirect immunoperoxidase staining with a working dilution of 1:3000 using trypsin-digested,
formalin-fixed, paraffin-embedded rat cerebellum sections. It was used for
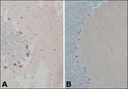
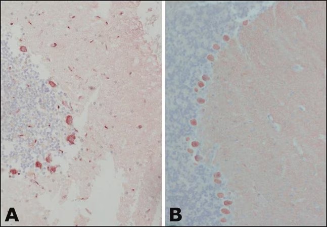
immunohistochemistry and immunocytochemistry at a working dilution of 1:500 in
a study to understand impaired cerebellar development and function in mice
lacking CAPS2, a protein involved in neurotrophin release. It was used for
immunostaining to gauge the development of neuronal and glial cells in the
inner nuclear layer of islet-class factor Islet-1 (Isl1)-null and control
retinas. It was used for immunohistochemical colocalization studies to confirm
postsynaptic localization of the RGS11 complex in a study.
Biochem/physiol Actions
Calbindin-D-28K is involved in intramembranous transport of
calcium or acts as an intracellualr calcium buffer in many CNS structures such
as subpopulations of central and peripheral nervous system neurons. It is also
present in certain epithelial cells involved in Ca2+ transport
such as distal tubular cells and cortical collecting tubules of the kidney, and
in enteric neuroendocrine cells.
The antibody does not react with other members of the
EF-hand family, such as calbindin-D-9K, calretinin, myosin light chain,
parvalbumin, S-100a, S-100b, S-100A2 (S100L) and S-100A6 (calcyclin). A weaker
reactivity was observed with chicken calbindin-D-28K.
Physical form
Reagent is supplied as ascites fluid with 15mM sodium azide
as a preservative.
Preparation Note
For continuous use, store at 2-8 °C for up to one month. For
extended storage, freeze in working aliquots. Repeated freezing and thawing, or
storage in "frost free" freezers, is not recommended. If slight
turbidity occurs upon prolonged storage, clarify the solution by centrifugation
before use. Working dilution samples should be discarded if not used within 12
hours.
Disclaimer
Unless otherwise stated in our catalog or other company
documentation accompanying the product(s), our products are intended for
research use only and are not to be used for any other purpose, which includes
but is not limited to, unauthorized commercial uses, in vitro diagnostic
uses, ex vivo or in vivo therapeutic uses or
any type of consumption or application to humans or animals.